Our Services

At Pilbara Dental Studios, we offer a comprehensive range of dental services designed to meet your oral health needs with the latest technology and utmost care.

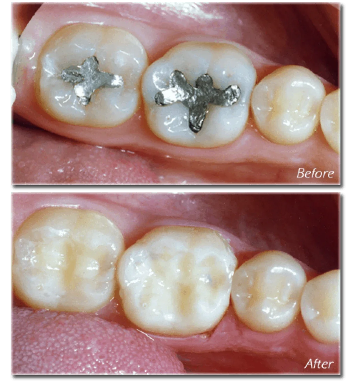
General Dentistry - Everyone knows that fillings, cleaning and simple extractions, Fluoride treatments fissure sealants come under General dentistry. At PDS we pride ourselves in having banned the use amalgams which are the mercur” filled metal filli

General Dentistry

Everyone knows that fillings, cleaning and simple extractions, Fluoride treatments fissure sealants come under General dentistry. At PDS we pride ourselves in having banned the use amalgams which are the mercur” filled metal fillings. If at all the School Dental Service tells you that your child needs an amalgam filling, put your foot down and bring the child to us for a tooth coloured resin filling.

Book now
Minor Oral Surgery - Impacted wisdom teeth usually require oral surgery as the tooth needs to be surgically removed. Pilbara Dental Studios offers such a service for impacted wisdom teeth that fall within our scope. Any suspicious lesions found durin

Minor Oral Surgery

Impacted wisdom teeth may need oral surgery for removal. Pilbara Dental Studios provides this service. Suspicious lesions can be biopsied.

book now
Smile Lifts with Cosmetic Veneers - eneers are thin shells made of porcelain or composite resin which sit like a laminate on the front surface of your tooth. It serves to cover up cracked, chipped or unsightly teeth see our gallery.

Smile Lifts with Cosmetic Veneers

Veneers are thin shells covering cracked, chipped teeth. They can be applied to one or more teeth. Made of porcelain or resin, with resin being more cost-effective and easier to repair.

book now
Digital Radiography - Gone are the days of X rays washed in harmful chemicals like Developer and Fixer. Today most Dental X rays are digital. We are proud to have gone digital since 1998. This means less radiation dosage to you compared to the old ch

Digital Radiography

Gone are the days of X rays washed in harmful chemicals like Developer and Fixer. Today most Dental X rays are digital. We are proud to have gone digital since 1998. This means less radiation dosage to you compared to the old chemically processed film.  We take an intra oral X ray and you see it instantly on the screen.

Book now
Dental Implants - At PDS dental Implants have become a daily routine affair.  Dental implants are permanent tooth replacement with a life like natural alternative which is fixed into your jawbone. Unlike a bridge the teeth on either side of the gap d

Dental Implants

At Pilbara Dental Studios, dental implants are common. They are permanent replacements that look and feel natural, fixed in your jawbone. Unlike bridges, nearby teeth don't get cut. An implant includes a titanium screw in the bone, holding a porcelain crown without using neighboring teeth.

book now
Teeth Whitening - Yellow unsightly teeth are now a thing of the past. With safe and effective whitening systems more and more people are seeking to whiten their teeth.

Teeth Whitening

Yellow teeth are a thing of the past with safe whitening systems that many people are using. Here at PDS, we offer two options:

  1. Home Bleaching: We create custom trays that fit your teeth. You'll use a special whitening gel in these trays for 15 minutes daily for 7 to 10 days, resulting in a brighter smile.

  2. In Clinic Bleaching: We offer a 60-minute Chairside Light Whitening system where we apply a whitening gel to your front teeth and activate it with a blue light for 8 minutes, repeated 2 to 3 times for desired results.

book now
Crown and Bridge Dentistry - When you have a missing tooth or teeth you can have these replaced by a removable denture ,a Bridge which is fixed and not removable or a screw in the tooth called Dental Implant. Bridges have stood the test of time and a

Crown & Bridge Dentistry

When you have a missing tooth or teeth you can have these replaced by a removable denture ,a Bridge which is fixed and not removable or a screw in the tooth called Dental Implant. Bridges have stood the test of time and are a permanent fixed solution to the dilemma of missing teeth.  Dental Implants are probably the best option but can be more expensive  and requires surgery . There are pros and cons to all these modalities. Best to talk to us with your specific issue and we will be happy to advise accordingly.

Book now
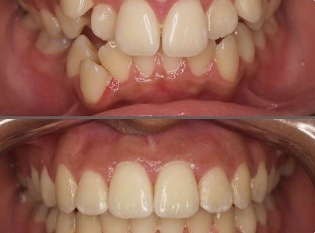
Invisible Orthodontics – Dolphin Aligners - In the last 7 years Invisible aligner Technology to straighten teeth has outpaced traditional bracers.  No more wires and brackets and going to see the Orthodontist every 6 weeks to tighten up.

Invisible Orthodontics - Dolphin Aligners

In the past 7 years, invisible teeth aligners have become more popular than traditional braces. No more wires or frequent orthodontist visits. Invisible aligners are comfortable, better for hygiene, and straighten teeth all day. They are removable for eating, drinking, and brushing. Many people prefer them for comfort and looks. We use advanced technology to design treatment without extractions for children and adults. Digital scanning shows how your teeth will move, giving you a preview of the final results before starting treatment.

book now
Periodontal Treatment- Gum Disease - Gum Disease is the most prevalent dental condition in the human mouth. We see more and more patients suffering from Periodontitis. It is silent  and discrete and can go unnoticed for years and sometimes decades li

Periodontal Treatment - Gum Disease

Gum Disease is the most prevalent dental condition in the human mouth. We see more and more patients suffering from Periodontitis. It is silent  and discrete and can go unnoticed for years and sometimes decades like termites in cabinetry. One of the early signs of gum disease is bleeding gums upon tooth brushing and bad breath.

If left untreated Periodontitis will result in the loosening and eventual loss teeth . Gum Disease is the primary cause of Adult tooth loss.

At all our centres we diagnose and treat Periodontal disease when the progress is within our scope. Advanced Periodontitis will be referred to a Specialist Periodontist in Perth. 

book now
Endodontics – Root Canal Treatment - In the old days if you had a toothache you simply had the tooth pulled out. Nowadays people have become highly aware that extracting a tooth is not only going to be more costly in the long run but can cause detrim

Endodontics - Root Canal Treatment

In the old days if you had a toothache you simply had the tooth pulled out. Nowadays people have become highly aware that extracting a tooth is not only going to be more costly in the long run but can cause detrimental instability of your occlusion resulting in tooth fractures, tooth tipping, gum disease and Tempro Mandibular Joint problems.

The alternative to extracting the tooth is Root Canal Treatment. A procedure which gets rid of the pain and allows you to keep your tooth.

Your tooth aches because the nerves and blood vessels in the centre of the tooth are deteriorating and forming an abscess or dying due to decay or trauma. If it’s a tooth that can be saved, we will suggest Root Canal Treatment.

Book now

Pilbara Dental Studios - where your smile meets Excellence

Contact us today